Back to School Tips for Dental Health

Posted .

As the hot days of August come to an end and we start to notice chilly nights and cooler mornings, we start thinking about the change to fall and back to school! We understand that schedules and routines go out the window during the summer, with non-existent bedtimes and meals and snacks whenever. It is important to get your child's... read more »

Tongue Talk: Fun Facts About Your 8-Muscle Organ

Posted .

Despite its size (average of 3 inches or so), the tongue is an important organ of our body. Believe it or not, there are 8 different muscles that help the tongue to move. Unlike other muscles in our body, like our bicep or quads, the tongue muscles don't have a supporting bone that runs through it. And although your tongue... read more »

Lions and Tigers and… Going to the Dentist! Oh My!

Posted .

We got a call from a man (we'll call him Bob) after hours last week, complaining of a tooth that was throbbing and keeping him awake for the past few nights. He then admitted the tooth had been hurting him on and off for months. Why didn't he call us sooner?! For the simple reason that he was afraid of... read more »

So Many Toothbrushes So Little Time

Posted .

Hopefully, we all follow our dentist’s recommendation of brushing our teeth twice a day. But how do we choose what kind of toothbrush is best? With all of the options available to us, it can be difficult to feel confident in what we’re using to keep those pearly whites staying pearly white! There actually really is no right or wrong answer or... read more »

Unlocking the Mystery of Hypodontia: Exploring the Missing Teeth Phenomenon

Posted .

It seems like common sense; baby teeth fall out, adult teeth come in. But sometimes there are certain teeth that don't ever come in, and it's not because they're impacted or stuck in the gums. When this happens, it could be because a tooth is congenitally missing, which means a person is actually born without a permanent tooth. Another word... read more »

To Whiten or Not To Whiten?

Posted .

We have patients come in quite often asking if they should whiten their teeth. That is not necessarily a question we can answer for you. The main reason you should definitively not whiten your teeth is if you have areas of untreated decay or infection present in your mouth. Whitening your teeth is a very personal matter. If you are... read more »

Sports Drinks: How Good Are They?

Posted .

You get up early to get in a work-out before your kids wake up and start the hectic morning routine to get out the door.  Then you’re at work for 8 hours before you drive to sports practices, make dinner and do all the other things required of your day before you finally fall into bed just to do it... read more »

Do You Know the Common Symptoms of Tooth Decay?

Posted .

We’re all probably guilty of consulting with doctor Google and convincing ourselves that we have any number of diseases and maladies.  Fortunately for us, we’re usually wrong in our diagnosis!  If you’re ever worried that you might have a dental cavity, here are a few things to look for so you can make a more accurate assessment. Sometimes, a tooth... read more »

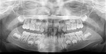
Why Take Dental X-Rays on a Child?

Posted .

There would be no need for dental X-rays if all dental issues existed above the gum line. However, this is simply not the case. Damage, decay and infections that cannot be seen by the naked eye are only visible on X-rays. Dental X-rays are the only way to get a complete view of your child’s mouth. It is important to... read more »

Skip to content