
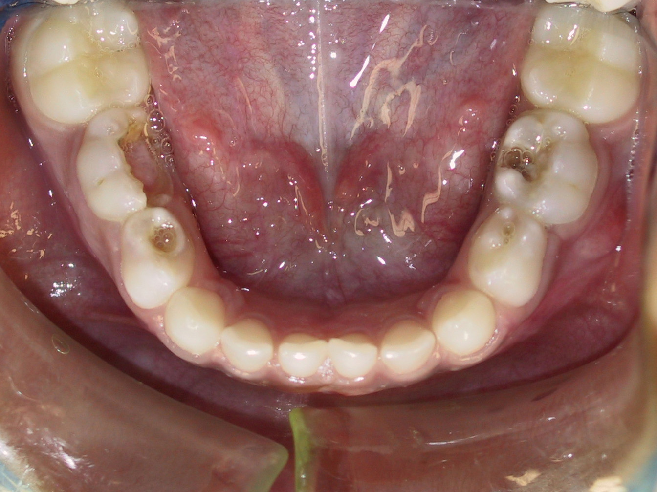
So often we think of “baby” or primary teeth as not being important. However, the complete opposite is actually true! Remember, those primary teeth are holding everything in place and preparing the mouth for the permanent or “adult” teeth that will come in later. If primary teeth are lost too early, due to decay or other reasons, your child’s smile loses that space holder. Permanent teeth can then come in misplaced or misaligned. Also, if a primary tooth is left untreated with ongoing decay, it can cause infection, which can then cause damage to the permanent, unerupted tooth coming in behind it. So even though these primary teeth will eventually fall out, you still want to make sure to take care of any current cavities on those baby teeth!

Our Queen City Dental Arts team is here to help your child’s smile develop properly for a healthier smile down the road. Our dedicated dentist, Dr. Meghan Stenvall is more than happy to evaluate your child’s dental health in Charlotte, North Carolina, and provide the dental care they need to keep their primary teeth healthy and in place. Please us a call today at 704-542-6533 with any questions or concerns you have regarding your child’s growing smile!